





It is I who drag my fingernail across the flesh, capriciously, seeking to understand what dwells beyond. How many layers until I reach the bone. How much I would have to excavate to turn around and return to the starting point.
2 Sussex Ave, Toronto, ON M5S 1J5
Sidewalk-level entrance, elevator and ramp available, door width 32 inches, no automatic doors. No accessible parking on-site. Four wheelchair accessible seats in the cinema. 15 step-free seats in row 9. Accessible gender-neutral washroom located on the 2nd and 3rd floor.
For a map to Innis Town Hall, click here
A Thousand Landscapes, A Thousand Bodies is a two-fold film program that explores the tension between the collective and the individual by looking at how landscapes and bodies interact with each other. Conceived as a diptych, these two programs bypass the difference of scale between the body and the landscape to take interest in the trajectories of contamination that puts these two entities in constant relation and negotiation.
Inspired by Deleuze and Guattari’s perspective on madness as developed in their book Anti-Oedipus, this second program explores the symptoms exhibited by the body as a response to an absence or a lack, and not as merely pathological. Here, symptoms are not failures but adaptations, offering a “sane” response to an increasingly insane world marked by the systemic violence of late capitalist societies.
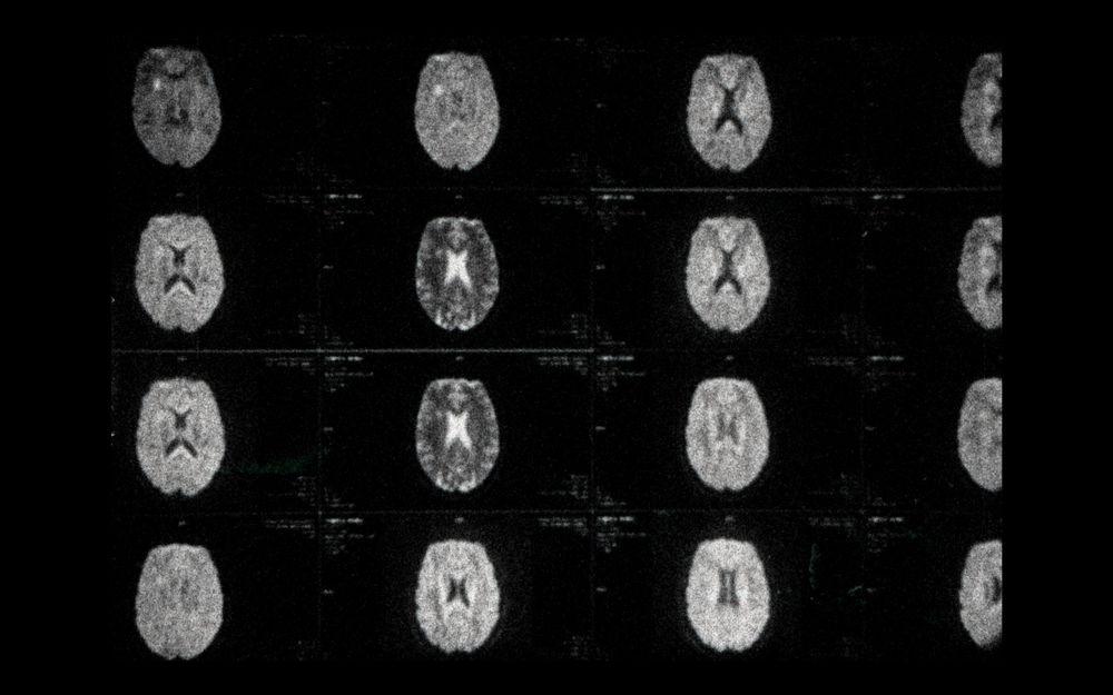
From the confines of institutional walls to the precarious expanses of untethered thought, A Thousand Bodies is a film program that looks at the ways in which bodies and minds resist control and subvert hegemonic forces. It’s under the flesh where you are tender by Agnès Hayden delves into the materiality of the body, silently piercing through the opacity of the skin to uncover what lies beyond the flesh. In Gala Hernández López’s for here am i sitting on a tin can far above the world, fear, imagination, and profit converge as thousands of individuals choose to be cryogenized, awaiting better times. Martin Davalos’ The Devil’s Knee excavates undesired bodies from decaying images, revealing their stubbornness to be seen in a context that constantly seeks to erase them.
Exit Through the Cuckoo’s Nest by Nikola Ilic offers a searing critique of systemic oppression, showing mental illness as the only way out of a compulsory military service in wartime while Sarah Ballard’s Full Out delves into the transformative possibilities of the body as a site of violence, inexplicable impulses, and radical change. In the final film of the program, In My Head, Irina Tempea plunges the audience into the fragmented landscape of inner turmoil shaped by a body failing due to a tentacular disease.
Together, these works question the boundaries between reason and madness, sickness and resilience, giving voice to untold stories of bodies that endure, resist, and refuse to be silenced.
Active Listeners with HELD Agency will be present for this program.
Agnès Hayden (Spain, 2000) is a multidisciplinary artist, constantly blending the realms of image and sound with a background in Direction of Photography and specialized in 16mm analog film. At the core of Agnès' artistic practice lies a profound exploration of the technologization of society and human emotion. The union between the machine used, essentially, to materialize thoughts, desires, and intuitions in the shape of an œuvre, and the author who endows it with feeling. Agnès tries to approach the language of machines through the study of code and programming, inspiring her artistic decisions. She usually works by linking her visualswith the soundscapes that they evoke in her, composing herself the sound for most of her artistic pieces.
Gala Hernández López is an artist-researcher and filmmaker. Her work articulates interdisciplinary research through the production of essay films, video installations, and performances on the new modes of subjectivation specifically produced by computational digital capitalism. From a feminist and critical lens, she examines the discourses and imaginaries circulating in virtual communities as symptomatic fictions of the state of the world. Her work has been shown at Berlinale, DOK Leipzig, Cinéma du Réel, IndieLisboa, Transmediale, and the Salon de Montrouge,. She recently won the 2024 César Award for best short documentary.
Irina Tempea is a filmmaker and cultural worker of Romanian origin based in Tiohtià:ke/Montreal. Her diary-like artistic practice revolves around the analog process she uses to reveal herself. She questions the materiality of film while filming her daily life and those close to her. She has just completed her first short film, In My Head, about her multiple sclerosis. She is currently working on her second film.
Martin Davalos is an independent visual artist, animator, and director. He graduated from the Faculty of Interactive Media of the University of Morelia. His work is based on the experimentation of mixed techniques in different media from animation to film material. He was a programmer for the 2022 and 2023 editions of ANIMAURA International Animation Festival.. In addition to his work as a director, he is an experimental film researcher, in which he is currently working on a thesis about the filmmaker Teo Hernandez. In October 2023, he was part of a roundtable about the rescue of film archives and private family collections at the Encuentro Latin American Homemade Cinema Amateur and Orphane organized by the festival Ultracinema and Ojo Libre. His short film, The Devil's Knee, was the result of the experimental practice of the Bergman Chair and the UNAM Film Library under the tutelage of the Mexican video artist Ximena Cuevas. His work has been projected in various exhibitions and experimental festivals.
Originally from Belgrade (Serbia), Nikola Ilic is an independent filmmaker and cinematographer interested in creative and observational documentary film-making. Since 2007, he lives, studies, and works between Switzerland and Serbia. His short films have been shown and awarded at many international festivals around the globe. His most recent feature Doc (co-Directed with Corina Schwingruber Ilic) won a DOK Leipzig Golden Dove among other awards. He has been nominated three times for the Swiss Film Award and is a two-time winner of the Zürich Film Award and Film Award of Central Switzerland. He is the co-founder of Pro Short Association and a member of the Swiss Film Academy and the European Film Academy.
Sarah Ballard is a filmmaker and educator based in Milwaukee, WI. Her work has screened at festivals such as CROSSROADS, Antimatter, Alchemy Film and Moving Image Festival, Light Matter Experimental Film and Media Arts Festival, and Engauge Experimental Film Festival, among others. Sarah is a recipient of the 2023 Princess Grace Award in Film and is a Lecturer in the Department of Film, Video, Animation, and New Genres at the University of Wisconsin–Milwaukee.